Exton Dental Health Group® Dentists Dedicated to You
Our mission is to use our extensive experience and training to practice dentistry at the highest level. This commitment to outstanding treatment is evident in our three primary focus areas: complete family dental care, advanced restorative dentistry, and leading cosmetic dentistry.
Exton Deserves Elite Care
Your smile influences virtually every aspect of your life, from the impressions you make on others to your sense of self. At Exton Dental Health Group®, The Pennsylvania Center For Cosmetic Dentistry®, and Main Line Center for Advanced Restorative Dentistry® we are dedicated to helping people make profound changes in their lives by giving them the sublime, exquisitely beautiful smiles they deserve.
Featuring world-renowned cosmetic dentist Jonathan Scharf and esteemed prosthodontic specialist David J. Kopecki, Exton Dental in Exton, PA, offers dentistry of an uncompromisingly high standard that is focused on the unique needs, total comfort, and ultimate satisfaction of each individual patient. Dr. Scharf founded Exton Dental over four decades ago and has spent the nearly half-century since providing expectation-exceeding results of truly rare quality. These results are achieved through a peerless blend of technology and technique, aesthetics and science, and innovation and experience.

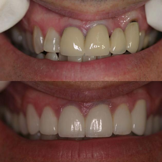
See the Smiles We Create
Advanced Restorative Dentistry
Dr. Kopecki is a leading prosthodontist. He achieved this status by completing years of additional training beyond that of a general dentist. Our prosthodontist has an incredible ability to repair widespread tooth damage and replace missing teeth.
He provides dental crowns, dental bridges, and dentures that are custom-designed for comfort, function, and durability. Dr. Kopecki also places and restores dental implants, which can provide life-changing benefits for the right candidates. See for yourself the new smile he gave a patient using dental implant-supported restorations.
Excellent Cosmetic Dentistry
Cosmetic dentistry expert Dr. Jonathan Scharf consistently achieves unsurpassed results. He strives to provide the best care in everything from a routine teeth whitening to a full smile makeover. By using only the finest materials, Dr. Scharf gives his Exton patients smiles they proudly share.
Dr. Scharf's cosmetic work has been featured in magazines, television, and film. He can combine veneers, crowns, bonding, and whitening to give you the beautiful smile of your dreams. Here you can see a beaming patient who has already benefitted from a Dr. Scharf smile makeover.
5-Star Reviews for Both Our Dentists
I have been a patient of Dr. Scharf’s for about 20 years. I can not say enough about him and his entire staff. They are all friendly, caring and very knowledgeable. Dr. Scharf is a master at cosmetic dentistry. I had a bridge on my front teeth that needed to be replaced. The results were amazing, way above my expectations. Whether it be for a routine exam, a filling or a cosmetic procedure, you will be very you choose Dr. Scharf.
View on GoogleThank you Dr. KOPECKI for the Excellent work you have done on my teeth. I never thought I could have a great smile. You and your staff are wonderful. Thank you for being so patient and careful with my mess of a mouth. I will miss everyone.
View on GoogleSchedule Your Appointment Today
Exton Dental Health Group® and the Pennsylvania Center for Cosmetic Dentistry® invites you to schedule a consultation at our office in Exton, PA. During an initial consultation, our doctors will collect information on your smile, medical history, and goals so they can design the right customized treatment plan for you.
When high-quality cosmetic and restorative care is available, there's no reason to go through life self-conscious about your smile. Don't go another day hiding your smile from the world. You can schedule your first appointment with our widely respected team online or by calling us at:
(610) 363-2300

Meet Our Dentists

Dr. Jonathan Scharf
Dr. Jonathan Scharf is an Accredited Fellow of the American Academy of Cosmetic Dentistry who has trained thousands of dentists in the art and skill of the smile makeover. For over 40 years, Dr. Scharf has been serving patients with superior results from his office in Exton, counting among his many success stories several high-profile figures from the media and business worlds.

Dr. David J. Kopecki
Since 1996, Dr. David J. Kopecki has been providing Exton Dental patients with the finest, most advanced prosthetic dentistry in the region. From quality custom dentures to dental implants, Dr. Kopecki takes extreme care in restoring health, beauty, and function to the smiles of his patients. If the state of your oral health seems hopeless, Dr. Kopecki can restore your smile and your confidence.
We Have Many Prestigious Affiliations
"I strongly recommend this office!"
Dr. Scharf and his team are excellent - they are very accommodating and friendly and the end result looks amazing. I strongly recommend this office!
View on GoogleDr. Kopeck is very talented and kind. He makes you feel at ease and you know that you are getting the best care possible. The entire staff is very friendly and helpful. I don’t dread going to the dentist anymore since I found them.
View on GoogleOur Complete Treatments and Services
Take a Look Inside Our Office
We Accept CareCredit
Our team believes everyone should have access to elite care. We accept most insurances as well as CareCredit® to alleviate the stress of out-of-pocket payments. CareCredit allows patients to pay for dental treatment in convenient monthly installments that have low or no interest.









